Table of Contents
Washington University Experience | PERIPHERAL NEUROPATHY | 10 INFECTION | 3 Leprosy – Lepromatous | 1D12 Leprosy Case 1 EM016 - Copy
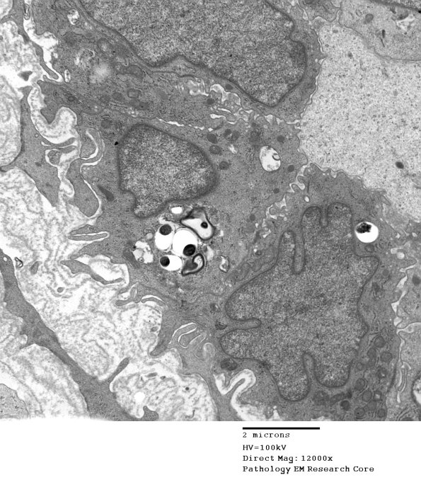
Leprous organisms infect the endothelium. Diseased endothelial cells may appear swollen, with loss of integrity of cell junctions and other signs of damage to the blood–nerve barrier. Multilayering and thickening of basement membrane around vessels is seen in all types of leprosy but it is a nonspecific finding in many chronic neuropathies. (electron micrographs)
