Table of Contents
Washington University Experience | PERIPHERAL NEUROPATHY | 10 INFECTION | 3 Leprosy – Lepromatous | 1D15 Leprosy Case 1 EM027 - Copy
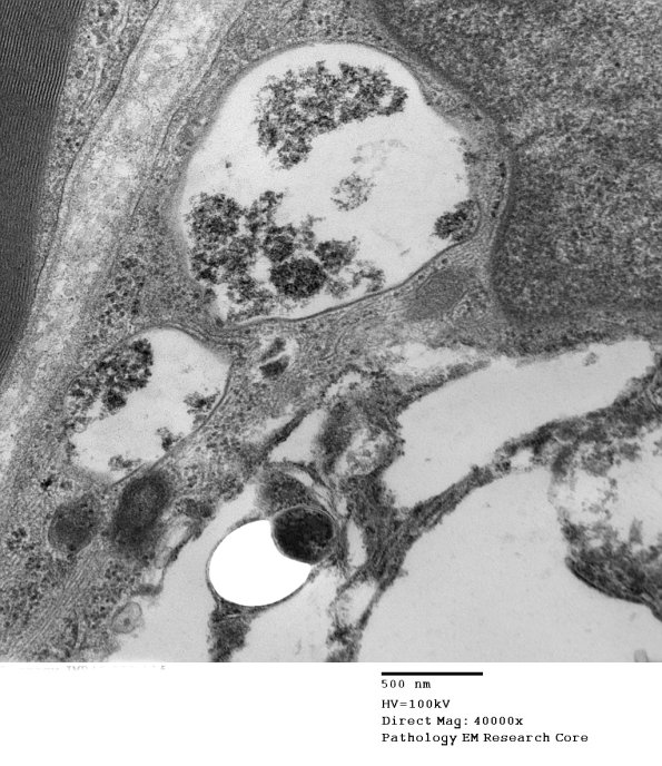
Both macrophages and Schwann cells contain degenerating bacilli which show loss of osmiophilic staining or irregularities in their cell walls. Macrophages can contain large numbers of bacilli, most in a degenerating state. (electron micrographs)
