Table of Contents
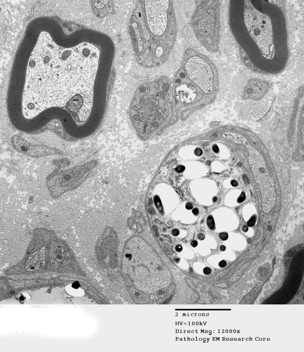
Washington University Experience | PERIPHERAL NEUROPATHY | 10 INFECTION | 3 Leprosy – Lepromatous | 1D1A Leprosy Case 1 EM013 - Copy
1D1A,B Ultrastructure allows the identification of the organism location, in this case it involves the Schwann cell. (electron micrographs)
