Table of Contents
Washington University Experience | PERIPHERAL NEUROPATHY | 10 INFECTION | 3 Leprosy – Lepromatous | 1D1B Leprosy Case 1 EM015 - Copy
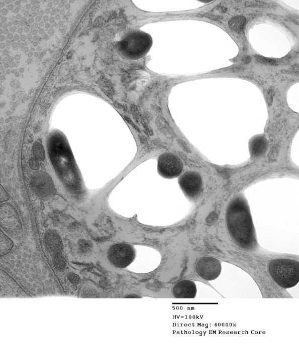
Electron microscopy shows the organisms as membrane bound round or rod-shaped electron-dense structures surrounded by a clear halo (possibly partially composed of bacterial metabolites and/or denatured host cytoplasmic components). (electron micrograph)
