Table of Contents



Washington University Experience | PERIPHERAL NEUROPATHY | 10 INFECTION | 3 Leprosy – Lepromatous | 1D3B Leprosy Case 1 EM029 - Copy

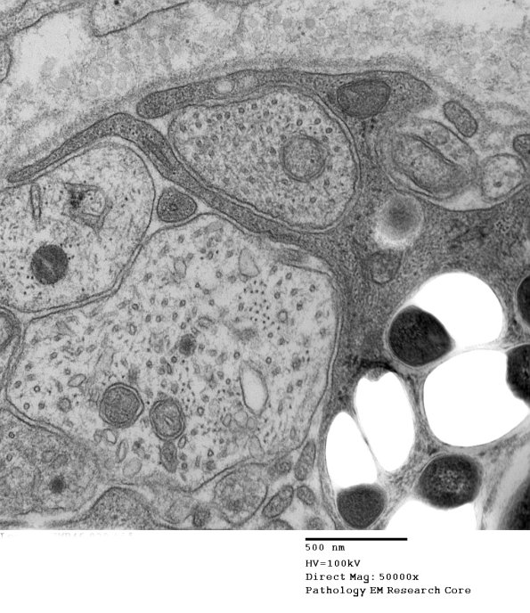
1D3B Leprosy Case 1 EM029 - Copy
Higher magnification of image #1D3A. (electron micrograph)


Gallery RSS RSS Feed | Archive View | Login | Powered by Zenphoto