Table of Contents
Washington University Experience | PERIPHERAL NEUROPATHY | 10 INFECTION | 3 Leprosy – Lepromatous | 1D4B Leprosy Case 1 EM026 - Copy
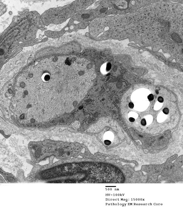
In this case the Schwann cell contains organisms adjacent to and within the demyelinated axon. (electron micrograph)
