Table of Contents
Washington University Experience | PERIPHERAL NEUROPATHY | 10 INFECTION | 3 Leprosy – Lepromatous | 1D5A Leprosy Case 1 EM050 - Copy
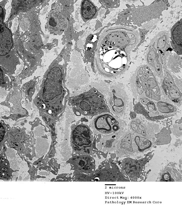
1D5A,B The infected Schwann cell has resulted in a demyelinated axon with an intra-axonal organism. An adjacent macrophage appears to have engulfed bacilli. (electron micrograph)
