Table of Contents
Washington University Experience | PERIPHERAL NEUROPATHY | 10 INFECTION | 3 Leprosy – Lepromatous | 1D6 Leprosy Case 1 EM049 - Copy
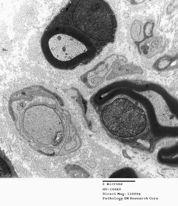
A demyelinated axon does not show definitive organisms in its cytoplasm. When many nerve fibers still remain in the fascicle, ultrastructural examination readily demonstrates naked or thinly myelinated axons, suggesting primary demyelination but individual axons may be difficult to tell from “axons with thinned myelin sheaths for axon caliber” resulting from a cycle of axonal degeneration and regeneration. (electron micrograph)
