Table of Contents
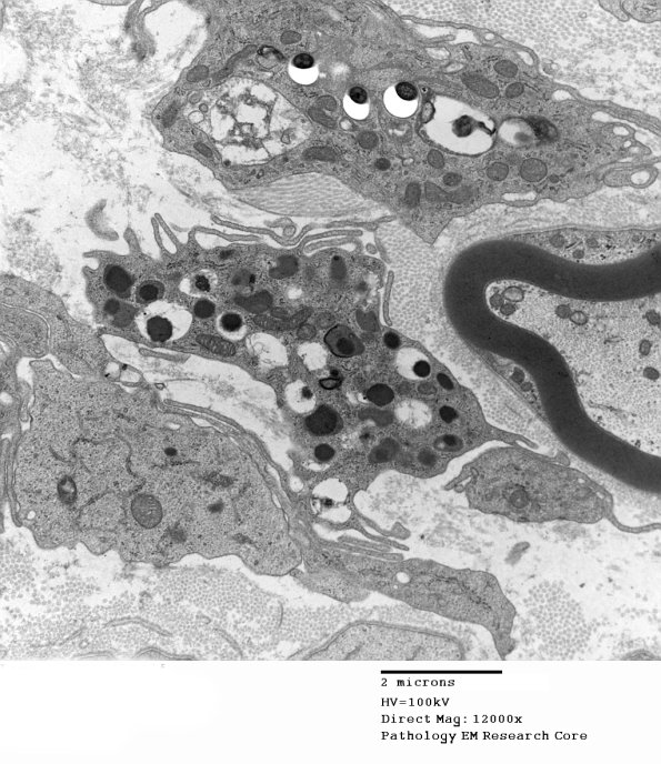
Washington University Experience | PERIPHERAL NEUROPATHY | 10 INFECTION | 3 Leprosy – Lepromatous | 1D9 Leprosy Case 1 EM020 - Copy
Several images showing numerous bacteria within macrophages and others in Schwann cells. (electron micrographs)
