Table of Contents
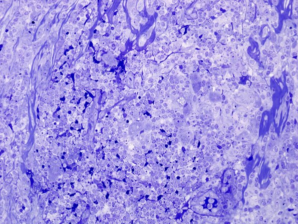
Washington University Experience | PERIPHERAL NEUROPATHY | 10 INFECTION | 3 Leprosy – Lepromatous | 2A2 Leprosy, lepromatous (Case 2) Plastic 2
In this fascicle there are limited numbers of organisms and more inflammatory small cells than in typical lepromatous leprosy. (plastic sections)
