Table of Contents
Washington University Experience | PERIPHERAL NEUROPATHY | 10 INFECTION | 3 Leprosy – Lepromatous | 3A3-Leprosy-lepromatous-microfasciculation-Case-3-Plastic-9.jpg
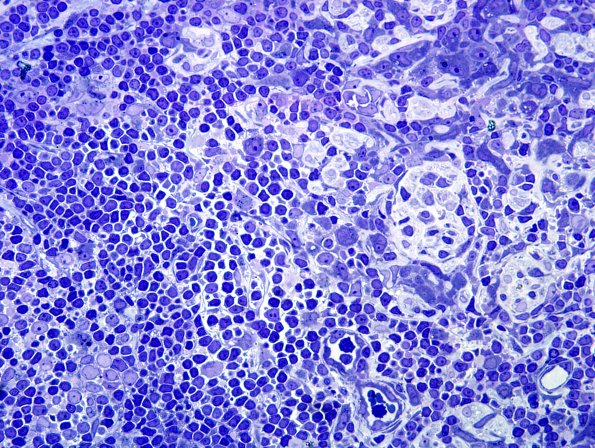
There is a striking pattern of micro-fascicular growth in this nerve. There is a complement of small lymphocytes surrounding islands of Schwann cells and histiocytes. Organisms are infrequent. (Plastic sections)
