Table of Contents
Washington University Experience | PERIPHERAL NEUROPATHY | 10 INFECTION | 3 Leprosy – Lepromatous | 4A1 (Case 4) H&E 4
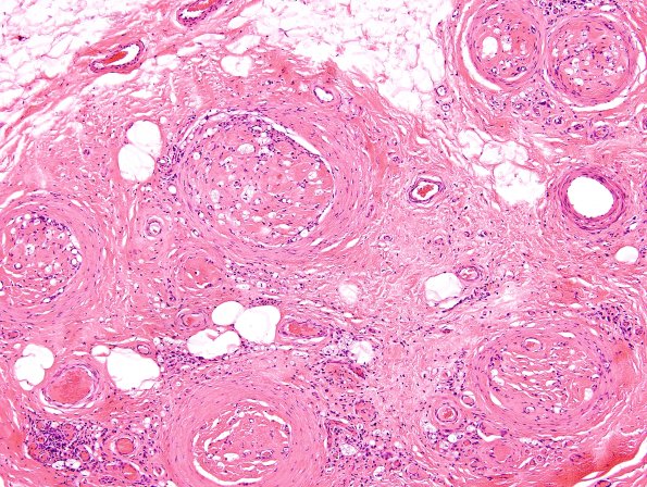
Case 4 ---- 4A1-3 With progression of the disease, collagen is laid down in ever increasing amounts, sometimes to the point where the nerve is entirely replaced with fibrous and hyaline material. (H&E)
