Table of Contents



Washington University Experience | PERIPHERAL NEUROPATHY | 10 INFECTION | 3 Leprosy – Lepromatous | 4B2 (Case 4) Plastic 8

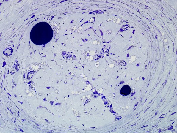
4B2 (Case 4) Plastic 8
Higher magnification of individual collagenized fascicle. (plastic sections)


Gallery RSS RSS Feed | Archive View | Login | Powered by Zenphoto