Table of Contents



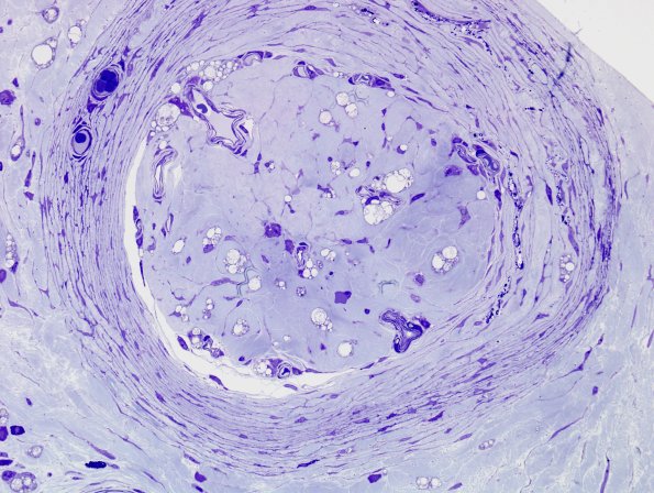
Washington University Experience | PERIPHERAL NEUROPATHY | 10 INFECTION | 3 Leprosy – Lepromatous | 4B3 (Case 4) Plastic 10

4B3 (Case 4) Plastic 10
Higher magnification of individual collagenized fascicle. (plastic sections)


Gallery RSS RSS Feed | Archive View | Login | Powered by Zenphoto