Table of Contents



Washington University Experience | PERIPHERAL NEUROPATHY | 10 INFECTION | 3 Leprosy – Lepromatous | 4B5 (Case 4) Plastic 7

4B5 (Case 4) Plastic 7
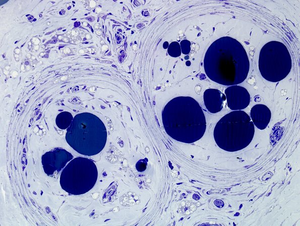
Intrafascicular lipid droplets are accompanied by endoneurial fibrosis. (plastic section)


Gallery RSS RSS Feed | Archive View | Login | Powered by Zenphoto