Table of Contents



Washington University Experience | PERIPHERAL NEUROPATHY | 10 INFECTION | 3 Leprosy – Lepromatous | 5A Leprosy, lepromatous Trichrome

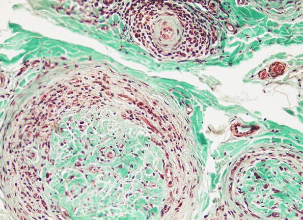
5A Leprosy, lepromatous Trichrome
Case 5 ---- Similar to Case #4 the endoneurium in this case is hyalinized. (Trichrome)


Gallery RSS RSS Feed | Archive View | Login | Powered by Zenphoto