Table of Contents
Washington University Experience | PERIPHERAL NEUROPATHY | 10 INFECTION | 4 Leprosy – Tuberculoid | 1A2 Leprosy, tuberculoid (Case 1) H&E 10
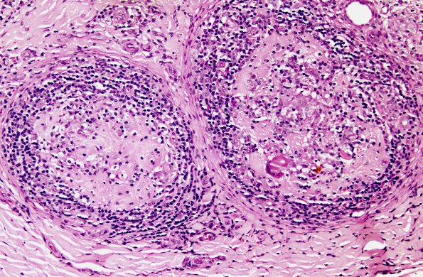
1A2-7 Histological sections of the superficial peroneal nerve show lymphocytes, macrophages and scattered multinucleate giant cells composing well formed granulomas. The axons within the nerve’s multiple fascicles appear obliterated by peripheral lymphocytic inflammation and central granulomatous inflammation characterized by epithelioid histiocytes and occasional multinucleated giant cells. Associated with this inflammation is severe fibrosis of the endoneurium and perineurium, the latter with an “onion-skin” appearance.
