Table of Contents
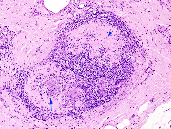
Washington University Experience | PERIPHERAL NEUROPATHY | 10 INFECTION | 4 Leprosy – Tuberculoid | 1A4 Leprosy, tuberculoid (Case 1) H&E 3 copy
In this fascicle there are islands of epithelioid histiocytes (arrow) and endoneurial hyalinized fibrotic regions (arrowhead)
