Table of Contents
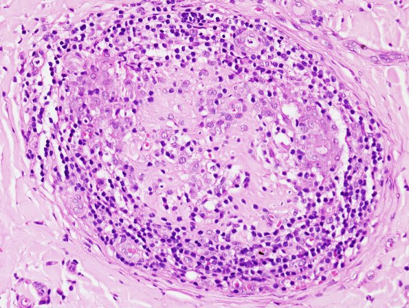
Washington University Experience | PERIPHERAL NEUROPATHY | 10 INFECTION | 4 Leprosy – Tuberculoid | 1A6 Leprosy, tuberculoid (Case 1) H&E 5
Illustration of multiple involved fascicles with typical granulomas with variation in constituent elements. (H&E)
