Table of Contents
« prev
next »
Washington University Experience
|
PERIPHERAL NEUROPATHY
|
10 INFECTION
|
4 Leprosy – Tuberculoid
|
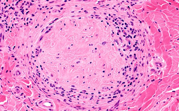
1A7 Leprosy, tuberculoid (Case 1) H&E 40X 3
In other areas only fibrous tissue remains surrounded by inflammatory cells. (H&E)
Image Info
Camera Maker:
Olympus
Camera Model:
DP74
Shutter Speed:
29/6250 sec
Metering Mode:
Multi-Spot
Gallery RSS
|
Archive View
|
Login
|
Powered by
Zenphoto