Table of Contents
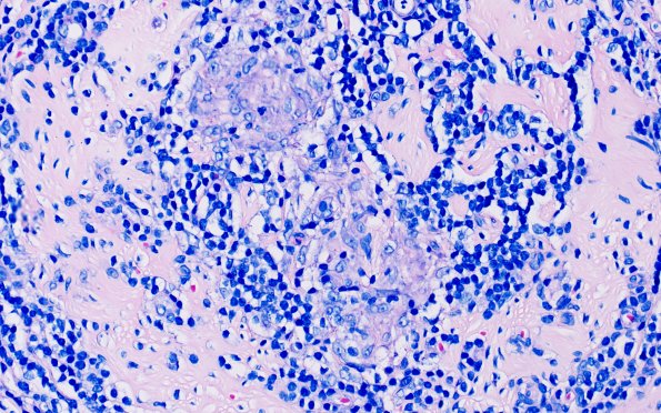
Washington University Experience | PERIPHERAL NEUROPATHY | 10 INFECTION | 4 Leprosy – Tuberculoid | 1B2 Leprosy, tuberculoid (Case 1) AFB (negative) 40X
Acid-fast M. lepra organisms are completely absent from the lesions in this case even when viewed with oil immersion using Acid Fast Bacilli (AFB) stain.
