Table of Contents
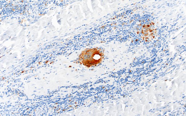
Washington University Experience | PERIPHERAL NEUROPATHY | 10 INFECTION | 4 Leprosy – Tuberculoid | 1C3 Leprosy, tuberculoid (Case 1) CD-68 20X 2
There are numerous epithelioid histiocytes and multinucleated giant cells which percolate between fibrous areas. (CD68 IHC)
