Table of Contents
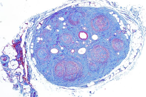
Washington University Experience | PERIPHERAL NEUROPATHY | 10 INFECTION | 4 Leprosy – Tuberculoid | 1D1 Leprosy, tuberculoid (Case 1) Trichrome 1
1D1-3 There is variable but consistent fibrosis from fascicle to fascicle recognized by increased areas of pink cytoplasm. (Trichrome)
