Table of Contents
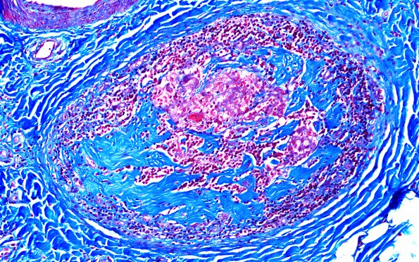
Washington University Experience | PERIPHERAL NEUROPATHY | 10 INFECTION | 4 Leprosy – Tuberculoid | 1D2 Leprosy, tuberculoid (Case 1) Trichrome 20X 1
There is variable but consistent fibrosis from fascicle to fascicle recognized by increased areas of pink cytoplasm. (Trichrome)
