Table of Contents
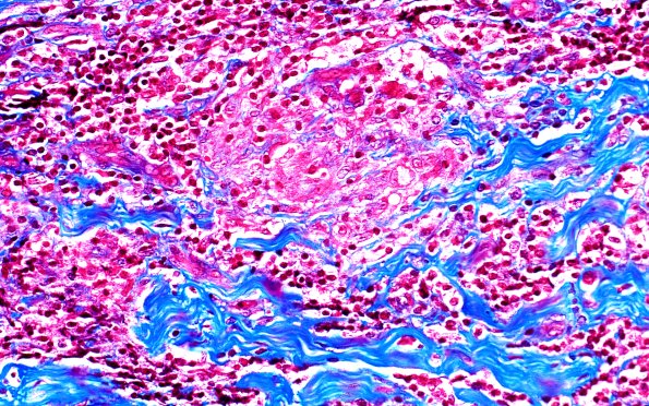
Washington University Experience | PERIPHERAL NEUROPATHY | 10 INFECTION | 4 Leprosy – Tuberculoid | 1D3 Leprosy, tuberculoid (Case 1) Trichrome 40X 1
There is variable but consistent fibrosis from fascicle to fascicle recognized by increased areas of pink cytoplasm. (Trichrome) ---- Not shown: Immunohistochemically stained sections show essentially no reactivity for neurofilament or epithelial membrane antigen, highlighting the obliteration of axons and perineurium, respectively.
