Table of Contents
Washington University Experience | PERIPHERAL NEUROPATHY | 10 INFECTION | 4 Leprosy – Tuberculoid | 2A1 Leprosy, tuberculoid (Case 2) H&E 4X
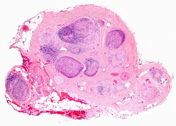
Case 2 No History ---- 2A1,2 This low magnification image shows variable involvement of individual fascicles. (H&E)
