Table of Contents
Washington University Experience | PERIPHERAL NEUROPATHY | 10 INFECTION | 4 Leprosy – Tuberculoid | 2A3 Leprosy, tuberculoid (Case 2) H&E 2
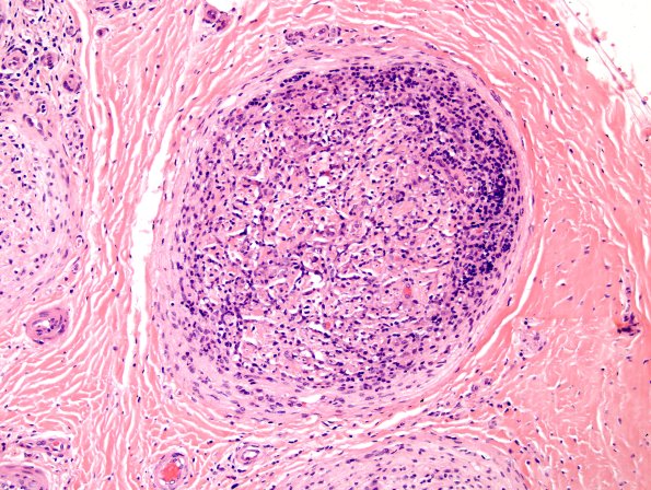
2A3,4 There are prominent lymphocytic infiltrates at the margins of many fascicles. Axons have been lost in great numbers. (H&E)
