Table of Contents
Washington University Experience | PERIPHERAL NEUROPATHY | 10 INFECTION | 4 Leprosy – Tuberculoid | 2B3 Leprosy, tuberculoid (Case 2) Fite 8
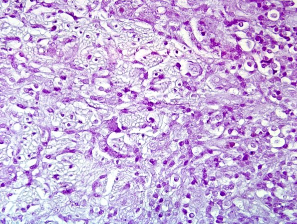
No organisms were identified with careful examination using oil immersion. (Fite stain)
