Table of Contents
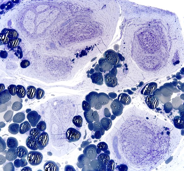
Washington University Experience | PERIPHERAL NEUROPATHY | 10 INFECTION | 4 Leprosy – Tuberculoid | 2C1 Leprosy, tuberculoid (Case 2) Plastic 1A
2C1,2 Low magnification images showing marked loss of large and small myelinated axons. (plastic sections)
