Table of Contents
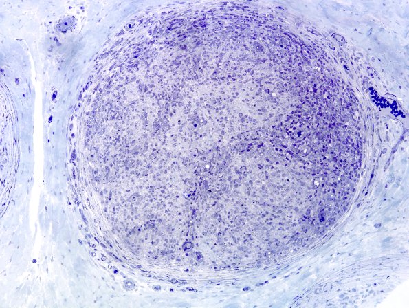
Washington University Experience | PERIPHERAL NEUROPATHY | 10 INFECTION | 4 Leprosy – Tuberculoid | 2C3 Leprosy, tuberculoid (Case 2) Plastic 3
2C3-6 Higher magnification showing marked loss of large and small myelinated axons; however, scattered thinly myelinated axons remain. (plastic sections)
