Table of Contents



Washington University Experience | PERIPHERAL NEUROPATHY | 10 INFECTION | 4 Leprosy – Tuberculoid | 3A5 Leprosy, tuberculoid (Case 3) H&E 1

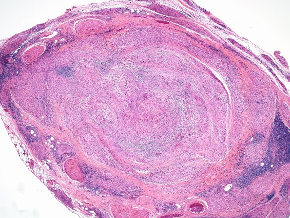
3A5 Leprosy, tuberculoid (Case 3) H&E 1
The entire nerve is diffusely involved by the granulomatous process. (H&E)


Gallery RSS RSS Feed | Archive View | Login | Powered by Zenphoto