Table of Contents
Washington University Experience | PERIPHERAL NEUROPATHY | 10 INFECTION | 4 Leprosy – Tuberculoid | 4A3 Leprosy, tuberculoid (AANP 2004-Case 6) H&E 4
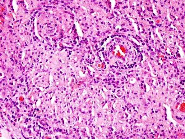
Once again, the residual fascicles have lost essentially all their axons. (H&E)
