Table of Contents
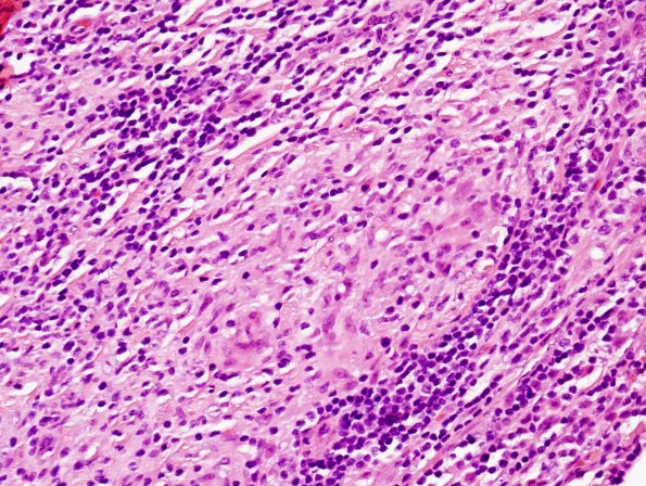
Washington University Experience | PERIPHERAL NEUROPATHY | 10 INFECTION | 4 Leprosy – Tuberculoid | 4A5 Leprosy, tuberculoid (AANP 2004-Case 6) H&E 6
Higher magnification of the endoneurium with prominent inflammation and epithelioid histiocytes lacking multinucleated giant cells. (H&E)
