Table of Contents



Washington University Experience | PERIPHERAL NEUROPATHY | 10 INFECTION | 4 Leprosy – Tuberculoid | 5A10 Leprosy, tuberculoid (Case 5) H&E 9

5A10 Leprosy, tuberculoid (Case 5) H&E 9
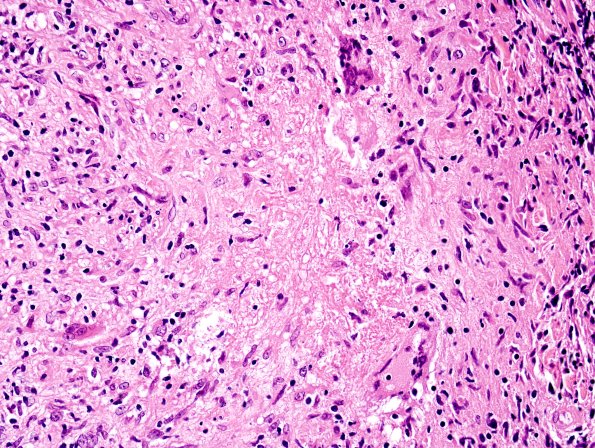
Another granuloma with a population of multinucleated giant cells. (H&E)


Gallery RSS RSS Feed | Archive View | Login | Powered by Zenphoto