Table of Contents
« prev
next »
Washington University Experience
|
PERIPHERAL NEUROPATHY
|
10 INFECTION
|
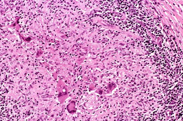
4 Leprosy – Tuberculoid
|
5A12 Case 5 leprosy14A
Additional granulomas in this case with multinucleated giant cells. (H&E)
Image Info
Camera Maker:
Nikon
Camera Model:
Nikon SUPER COOLSCAN 5000 ED
Gallery RSS
|
Archive View
|
Login
|
Powered by
Zenphoto