Table of Contents
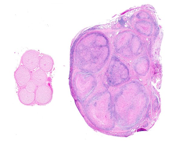
Washington University Experience | PERIPHERAL NEUROPATHY | 10 INFECTION | 4 Leprosy – Tuberculoid | 5A2 Case 5 Normal vs tuberculoid leprosy
This is a comparison of a control sural nerve and the cross section shown in image #5A1. Note the expansion of the nerve. (H&E)
