Table of Contents
Washington University Experience | PERIPHERAL NEUROPATHY | 10 INFECTION | 4 Leprosy – Tuberculoid | 5A3-Leprosy-tuberculoid-Case-5-H-E-2x-1.jpg
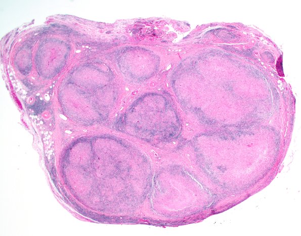
The basic structure of the nerve is discernable; however, the fascicles are completely replaced by granulomas. (H&E)
