Table of Contents
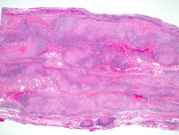
Washington University Experience | PERIPHERAL NEUROPATHY | 10 INFECTION | 4 Leprosy – Tuberculoid | 5A4-Leprosy-tuberculoid-Case-5-H-E-2x-3.jpg
The longitudinal image shows the various sizes of granulomas along the extent of the fascicles. (H&E)
