Table of Contents
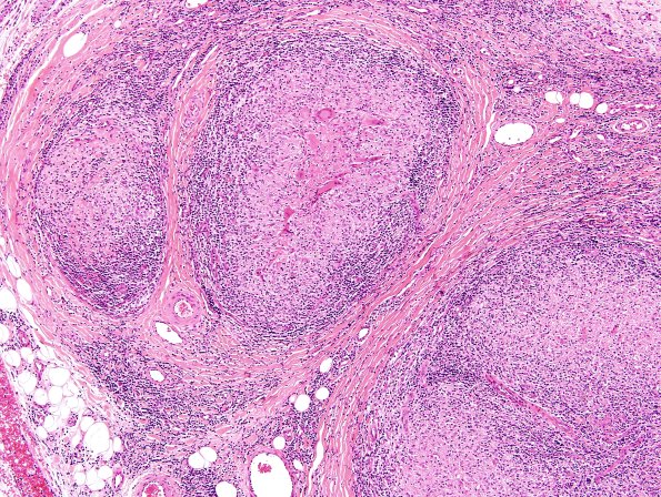
Washington University Experience | PERIPHERAL NEUROPATHY | 10 INFECTION | 4 Leprosy – Tuberculoid | 5A5 Leprosy, tuberculoid (Case 5) H&E 3
5A5,6 The central portion of each granuloma has a more complex structure in this case. (H&E)
