Table of Contents



Washington University Experience | PERIPHERAL NEUROPATHY | 10 INFECTION | 4 Leprosy – Tuberculoid | 5A6 Leprosy, tuberculoid (Case 5) H&E 5

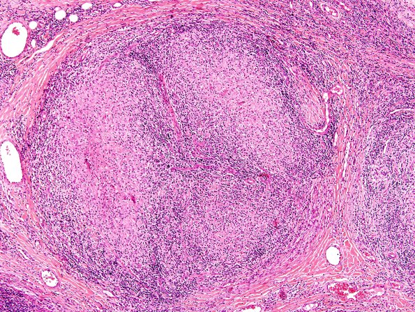
5A6 Leprosy, tuberculoid (Case 5) H&E 5
The central portion of each granuloma has a more complex structure in this case. (H&E)


Gallery RSS RSS Feed | Archive View | Login | Powered by Zenphoto