Table of Contents



Washington University Experience | PERIPHERAL NEUROPATHY | 10 INFECTION | 4 Leprosy – Tuberculoid | 5A7 Leprosy, tuberculoid (Case 5) H&E 7

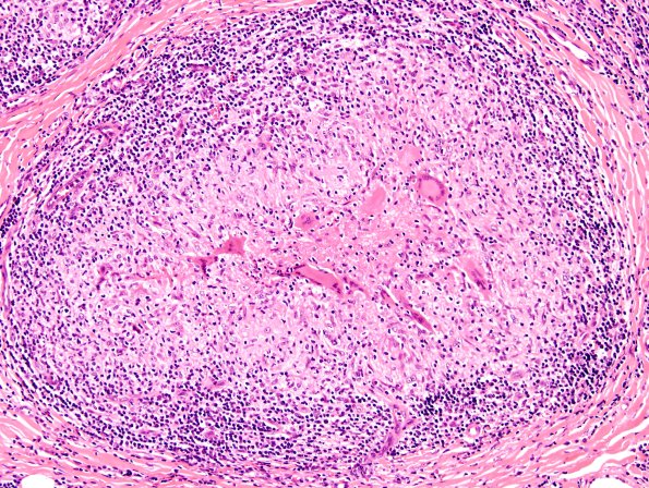
5A7 Leprosy, tuberculoid (Case 5) H&E 7
5A7,8 This fascicle is replaced by a granuloma with multinucleated giant cells. (H&E)


Gallery RSS RSS Feed | Archive View | Login | Powered by Zenphoto