Table of Contents



Washington University Experience | PERIPHERAL NEUROPATHY | 10 INFECTION | 4 Leprosy – Tuberculoid | 5A8 Leprosy, tuberculoid (Case 5) H&E 8

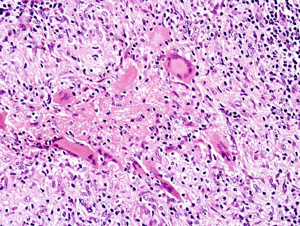
5A8 Leprosy, tuberculoid (Case 5) H&E 8
This fascicle is replaced by a granuloma with multinucleated giant cells. (H&E)


Gallery RSS RSS Feed | Archive View | Login | Powered by Zenphoto