Table of Contents



Washington University Experience | PERIPHERAL NEUROPATHY | 10 INFECTION | 4 Leprosy – Tuberculoid | 5A9 Leprosy, tuberculoid (Case 5) H&E 6

5A9 Leprosy, tuberculoid (Case 5) H&E 6
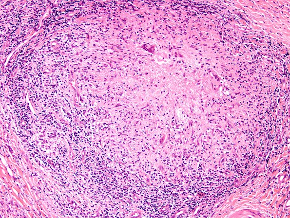
5A9,10 Another granuloma with a population of multinucleated giant cells. (H&E)


Gallery RSS RSS Feed | Archive View | Login | Powered by Zenphoto