Table of Contents
« prev
next »
Washington University Experience
|
PERIPHERAL NEUROPATHY
|
10 INFECTION
|
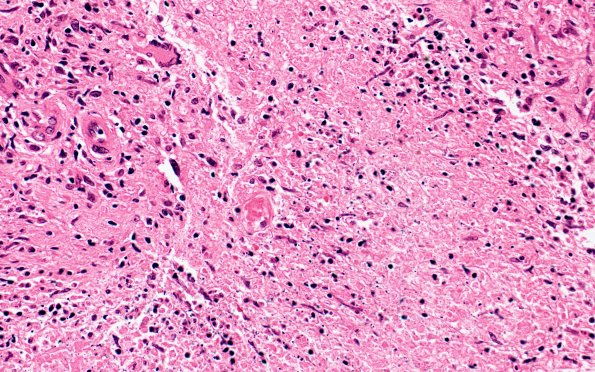
4 Leprosy – Tuberculoid
|
5B2 Leprosy, Tuberculoid (Case 5) 40X
Not uncommonly, caseating necrosis is seen. (H&E)
Image Info
Camera Maker:
Olympus
Camera Model:
DP74
Shutter Speed:
27/6250 sec
Metering Mode:
Multi-Spot
Gallery RSS
|
Archive View
|
Login
|
Powered by
Zenphoto