Table of Contents
Washington University Experience | PERIPHERAL NEUROPATHY | 10 INFECTION | 4 Leprosy – Tuberculoid | 5C Case 5 Tuberculoid leprosy EM A - Copy
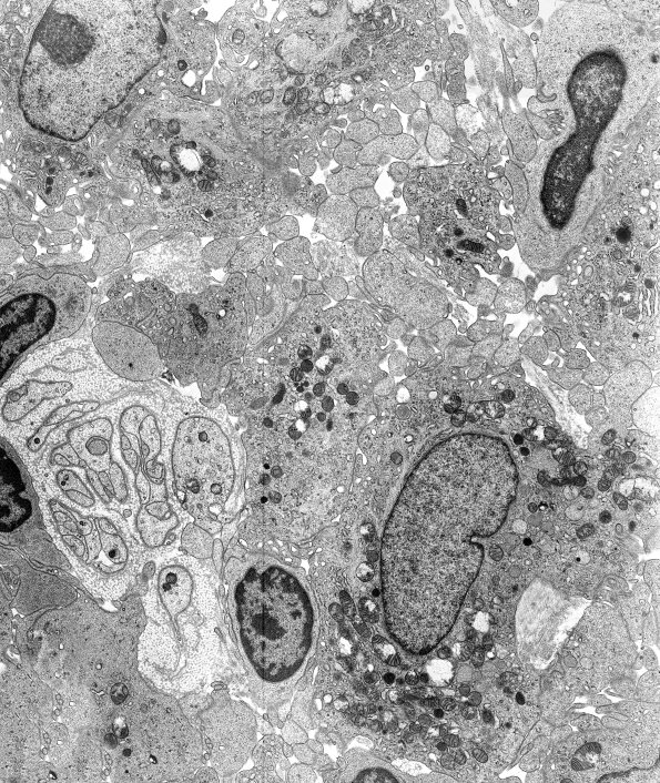
This image of the epithelioid cells shows they are not phagocytic, contain few lysosomes, no organisms and little debris. Rather, proliferation of rough endoplasmic reticulum and Golgi membranes and accumulation of mitochondria occur. (electron micrograph originating from Dr. Juan Bilbao)
