Table of Contents
Washington University Experience | PERIPHERAL NEUROPATHY | 10 INFECTION | 4 Leprosy – Tuberculoid | 6A1 Leprosy, tuberculoid (Case 6) Plastic 7
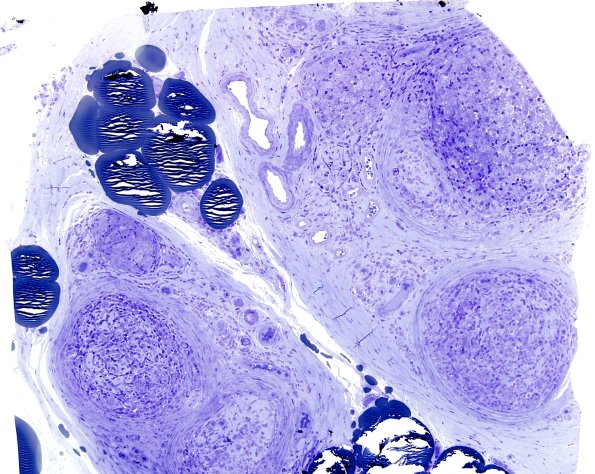
Case 6 No History ---- 6A1 Low magnification image of the nerve biopsy specimen with well developed granulomas. (Plastic section)
