Table of Contents
Washington University Experience | PERIPHERAL NEUROPATHY | 10 INFECTION | 4 Leprosy – Tuberculoid | 6A2 Leprosy, tuberculoid (Case 6) Plastic 8
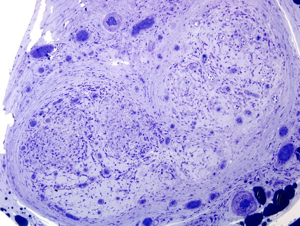
6A2,3 The endoneurial content consists of inflammation, epithelioid histiocytes and fibrosis but essentially no myelinated axons. (Plastic sections)
