Table of Contents
Washington University Experience | PERIPHERAL NEUROPATHY | 10 INFECTION | 4 Leprosy – Tuberculoid | 6A3 Leprosy, tuberculoid (Case 6) Plastic 9
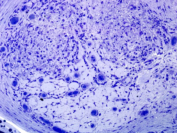
The endoneurial content consists of inflammation, epithelioid histiocytes and fibrosis but essentially no myelinated axons. (Plastic sections)
