Table of Contents



Washington University Experience | PERIPHERAL NEUROPATHY | 10 INFECTION | 4 Leprosy – Tuberculoid | 6A4 Leprosy, tuberculoid (Case 6) Plastic 13

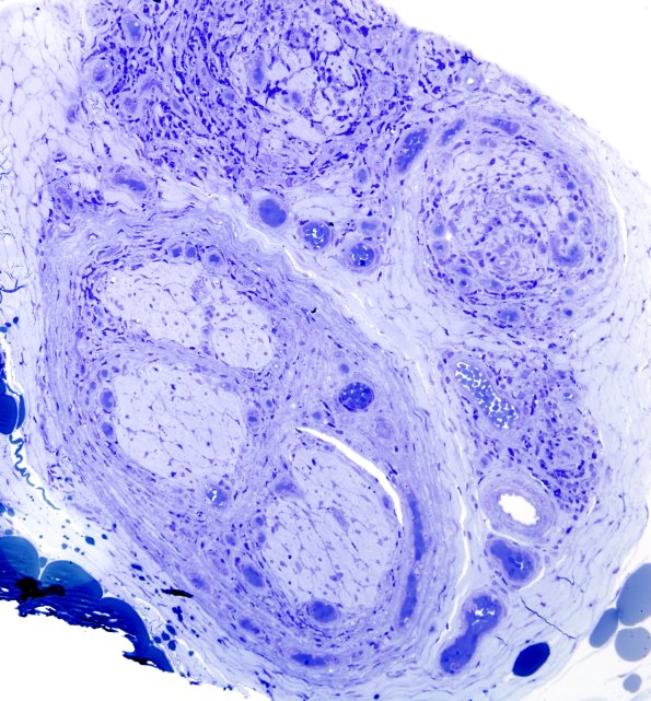
6A4 Leprosy, tuberculoid (Case 6) Plastic 13
6A4,5 Some fascicles contain islands of fibrous tissue. (Plastic sections)


Gallery RSS RSS Feed | Archive View | Login | Powered by Zenphoto