Table of Contents



Washington University Experience | PERIPHERAL NEUROPATHY | 10 INFECTION | 4 Leprosy – Tuberculoid | 6A6 Leprosy, tuberculoid (Case 6) Plastic 12

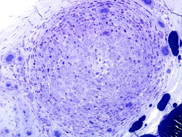
6A6 Leprosy, tuberculoid (Case 6) Plastic 12
This fascicle is dominated by epithelioid histiocytes. (Plastic section)


Gallery RSS RSS Feed | Archive View | Login | Powered by Zenphoto